歯科ホワイトニング
- 熊谷の歯医者「中村歯科医院」TOP>
- 歯科ホワイトニング
「以前はこんな色じゃなかったのに……」と、歯の黄ばみでお悩みではありませんか?
歯の色は、飲食物に含まれる強い色素の影響や加齢などによって、年々黄ばみを増していきます。
そういった方に対し、熊谷の歯医者、中村歯科医院の審美歯科ではホワイトニングをご提案しています。
ホワイトニングで歯の黄ばみをすっきりと白くし、思いきり笑える口もとを取り戻しませんか?

一旦できてしまった歯の黄ばみやくすみは、ブラッシングでは落とすことができません。
ホワイトニングは、このような歯を白くするための処置です。
ホワイトニングとは、身体にやさしい薬剤を使って歯の色を白くする処置のこと。
歯を削ることなく白くできるため、気軽にお試しいただけます。
以前は芸能人やモデルの方がするものというイメージがありましたが、近年では一般の方も男女を問わずたくさん受けられるようになっています。
ホワイトニングには「オフィスホワイトニング」と「ホームホワイトニング」があります。
その2つを比較してみましょう。
| オフィスホワイトニング | ホームホワイトニング | デュアル |
|---|---|---|
![]() |
![]() |
![]() |
| 概要 | ||
| 歯科医院で行うホワイトニング。 高濃度の薬剤を歯の表面に塗布し、特殊な光を当てて歯を白くします。 |
ご自宅で行うホワイトニング。 低濃度の薬剤を、歯科医院で歯型を採ってつくったマウストレーに入れ、毎日一定時間装着して歯を白くします。 |
オフィスホワイトニングとホームホワイトニングを併用する方法です。 両者のメリットが得られます。 |
| メリット | ||
|
|
|
| デメリット | ||
|
|
|
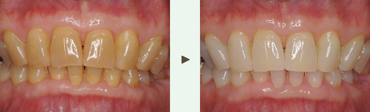
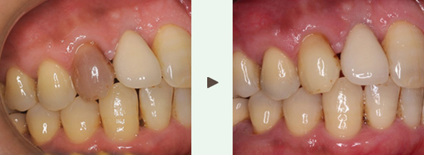
これまでに当院が行ったホワイトニングの症例をご紹介します。

| 主訴 | 歯の黄ばみが気になる |
|---|---|
| 治療内容 | ホームホワイトニング・PMTC |
| 治療期間 | 約1か月 |
| 治療金額 |
|

| 主訴 | 孫のために清潔感を出したい。自然な白さを希望 |
|---|---|
| 治療内容 | デュアルホワイトニング(ホームホワイトニング・オフィスホワイトニング・PMTC+トリートメント) |
| 治療期間 | 約1か月 |
| 治療金額 |
|

| 主訴 | 神経の無い歯が1本だけ変色しているのが気になる |
|---|---|
| 治療内容 | 右上犬歯、根の再治療後、ウォーキングブリーチ1回 |
| 治療期間 | 2ヶ月(根の再治療期間を含む) |
| 治療金額 |
|
ホワイトニングのリスク・副作用
ホワイトニングを受ける際には、以下のことにご注意ください。