矯正治療
- 熊谷の歯医者「中村歯科医院」TOP>
- 矯正治療
口と歯は、食事を摂り身体を維持するために重要であると同時に、発語、顔の表情によるコミュニケーションのためにも重要です。この重要な身体の部位が、正常に機能出来ない状態(不正咬合)は、全身の健康やコミュニケーションに影響を与える可能性があります。
矯正治療とは、お口の周りの状態と歯並びを正常な機能が出来る状態に改善して、身体の健康と心地よい笑顔による良好なコミュニケーションを得ることを治療目標としております。
矯正治療は、最初に患者さまの歯並びについての気になる事を、お口の周りとお口の中の写真を撮らせて戴きそれをもとに、状態を説明し治療の必要があるか、または定期観察が必要か、または治療の必要が無いかを説明させて戴きます。
治療の必要がある場合は、どの様な治療が必要か、どの様な装置が必要か、期間はどの程度か、費用はどの程度かの概略を説明させて戴きます。そして、矯正治療について患者さまに考えて戴きます。ここまでは、相談料金(初診料金)3,000円で行われます。
患者さまの矯正治療への決心がつきましたら、患者さまの上顎と下顎の関係、歯並び状態を把握するための検査の資料を採取させて戴きます。資料にはレントゲン撮影、上下の全体的な歯型採取、写真等が含まれます。これらの、資料をもとに個々の患者さまの上顎と下顎の関係、歯並びの状態を診断いたします。この診断をもとに、個々の患者さまの治療の計画を作成いたします。
患者さまへ診断に基付いた、詳細な治療計画、予測治療結果の説明を約1時間の時間をかけて行わせて戴きます。この時におおよその治療期間、確定した治療料金を説明させて戴きます。資料採取、診断、説明までの料金は40,000円で行われます。
診断、治療計画の説明にご納得戴ければ、矯正治療の開始になります。治療は乳歯列から混合歯列期(成長期のお子様)と永久歯列完成後(顎の成長が終了後)で大きく異なります。
この時期の治療は主に、不正咬合になる原因の排除と不正な位置にある歯を正常な位置への移動等を行い、正常な顎や歯列の成長を促す事を行います。そして、永久歯列完成まで経過を診て永久歯列完成時歯列に問題があれば、最終的な治療を行います。この時期に治療を開始する患者さまは、治療期間及び治療費用を第一期治療、第二期治療と二段階で行います。
第一期治療は先に述べました、不正咬合の原因排除や正常な顎発育を促す治療を、永久歯列完成まで種々の可撤式(取り外しの出来る)装置を主に使用します。期間は2年から4年間かかります。
第二期治療は、歯並びを最終的に個性正常咬合に導く治療でマルチブラケット(個々の歯にワイヤーを付ける)を用いて行います。期間は2年から3年間かかります。料金は第一期が、400,000~600,000円、第二期が、300,000~700,000円かかります。
永久歯列完成期とは8番目の歯(親知らず)を除く7番目の歯(第二大臼歯)まで生え揃った状態です。この時期は顎の成長はピークを過ぎ、上下の顎の関係に問題があっても改善の可能性が少なくなります。このため、治療は歯の移動による治療が主になります。治療最初からマルチブラケット(個々の歯にワイヤーを付ける)による治療が主になります。この時期の治療費用は、700,000~1,000,000円かかります。
※治療の時期と流れを述べました。治療の時期は早ければ早い程、良好な治療結果を得られる可能性が高まります。患者さまご家族のいずれかが、矯正治療を行いたいとお考えでしたら早い時期の矯正治療の相談をお勧めします。何の病気でも放っておくと、悪化する傾向がありますが、歯並びも同じです。
これまでに当院が行った矯正治療の症例をご紹介します。


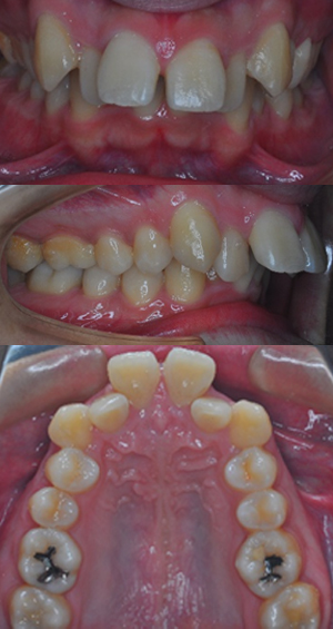
| 主訴 | 反対咬合が気になる |
|---|---|
| 診断 | 下顎前突 |
| 治療内容 | 非抜歯・非外科 マルチブラケット法 |
| 治療期間 | 3年6か月 |
| 治療金額 |
|
| 開始年齢 | 16歳8か月 |
| リスク副作用 | 矯正中は、ブラッシングが不十分だと、虫歯や歯肉炎になるリスクがあります。 また、治療中は治療に対する患者さん自身の協力が必須です。特に反対咬合は、顎の成長変化が治療に影響を及ぼす場合が多く、安定するまで治療期間や治療後の管理が長期にわたることがあります。 治療後の保定管理を怠ると、後戻りが起こりやすくなるため、その後の管理も必要です。 |


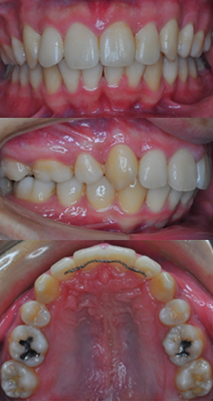
| 主訴 | 反対咬合が気になる |
|---|---|
| 診断 | 下顎前突 |
| 治療内容 | 非抜歯・非外科 マルチブラケット法 |
| 治療期間 | 3年間 |
| 治療金額 |
|
| 開始年齢 | 15歳8か月 |
| リスク副作用 | 矯正中は、ブラッシングが不十分だと、虫歯や歯肉炎になるリスクがあります。 また、治療中は治療に対する患者さん自身の協力が必須です。特に反対咬合は、顎の成長変化が治療に影響を及ぼす場合が多く、安定するまで治療期間や治療後の管理が長期にわたることがあります。 治療後の保定管理を怠ると、後戻りが起こりやすくなるため、その後の管理も必要です。 |


| 主訴 | 出っ歯、乱くい歯が気になる |
|---|---|
| 診断 | 上顎前突 |
| 治療内容 | 上顎左右4番抜歯 マルチブラケット法(BHQH1年間装着後、DBS2年半) |
| 治療期間 | 2年6か月 |
| 治療金額 |
|
| 開始年齢 | 22歳1か月 |
| リスク副作用 | 矯正中は、ブラッシングが不十分だと、虫歯や歯肉炎になるリスクがあります。 また、治療中は治療に対する患者さん自身の協力が必須です。 上下顎前歯の後方移動量が大きくなると、歯の根が短くなる現象が起こる場合があります。また、顎の構造等により前歯の後方移動が制限されることがあります。 治療後の保定管理を怠ると、後戻りが起こりやすくなるため、その後の管理も必要です。 |
薬を服用するのにも副作用のリスクがあるように、どんな医療にもリスクは伴います。もちろん矯正治療にも、治療を行う事によるリスクは存在します。患者さんには、矯正治療中に起こりうる内容に関して、正しく理解しておいて頂くことは、とても大事なことだと考えています。是非ご読ください。