訪問歯科・摂食嚥下障害への取り組み
- 熊谷の歯医者「中村歯科医院」TOP>
- 訪問歯科・摂食嚥下障害への取り組み
「歯医者に行きたいけど、足が不自由で行けない」
「寝たきりで、外に連れ出すことができない」
など、歯科診療を受けたくても受けられない方がいらっしゃいます。
しかし歯科治療や口腔ケアを受けずにいると、お口の中の環境はどんどん悪化してしまうでしょう。
そこで熊谷の歯医者、中村歯科医院の訪問歯科では、ご自宅や施設、また入院先の医院などに訪問して歯科診療を提供しています。
訪問診療専用の器具を持参して診療を行いますので、治療やケアが可能です。

寝たきりで過ごされている方、介護を受けられている方の多くは、お口のケアをご自分ですることが難しい状況にあります。
しかしご家族や介護にあたられている方は全身のケアに追われ、なかなかお口まで気が回らないということも少なくありません。
しかしお口のケアを怠ると、さまざまなトラブルが招かれてしまうことがあるのも事実です。
代表的なトラブルには以下のものが挙げられます。
食べ物を咬み、飲み込んで胃腸へ送り込むことをいう「摂食嚥下」。
これがうまく働かなくなる状態を「摂食嚥下障害」といいます。
その特徴には、食事の際に口が大きく開けられない、むせる、咳込む、うまく飲み込めない、食後に声がかれるといった状態が挙げられます。
摂食嚥下障害を放置すると、身体は脱水症状や栄養不足を招き、さらには窒息や誤嚥性(ごえんせい)肺炎を引き起こすことにもなりかねません。
放置せず、きちんと治療することが大切です。
「誤嚥」とは、食事の際に、食べ物や水分が過って肺に入り込むこと。
それと同時にお口の中の細菌が入り込んでしまうと、肺の中で繁殖して肺炎や呼吸器疾患を招いてしまうことがあります。
これは、高齢の方には命にも関わる事態です。
咳込んだり、呼吸が苦しそうであったりするなど気になる様子があれば、できるだけ早くご相談ください。
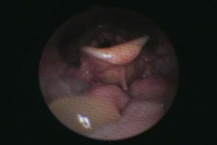
嚥下の状況を確認するために、VE(video endoscope・嚥下内視鏡)を使用した検査を行います。
これは、鼻から太さ約3mmの内視鏡(カメラ)を挿入して行う検査です。
普段の食事で食べているものを実際に飲み込んでいただき、嚥下の様子や、食物による違いを詳しく検査します。
内視鏡の検査を不安に思われる方もいますが、下の鉛筆と並べた写真のように内視鏡は細く、安心して検査をお受けいただけます。
また、VEは持ち運びができ、ご自宅や病院のベッドの上でも検査を行うことができます。
検査のご不明な点、ご不安な点などあれば、お気軽にご相談ください。




以下のようなお悩みがある方は、嚥下内視鏡(VE)検査をご検討ください。

訪問歯科では、虫歯や歯周病の治療、入れ歯の製作・調整といったものに加え、口腔ケアを重視しております。
なぜなら介護を受けられている方の中には、お口の中に汚れが溜まってしまっている方も多く、食事がおいしく食べられないだけでなく感染症や肺炎を引き起こすリスクを抱えているため、それを取り除く処置が必要になるからです。
口腔ケアには、次の2つの種類があります。
| 機能的口腔ケア | 器質的口腔ケア |
|---|---|
| 呼吸する、話す、食べる、笑う、表情をつくるといった口腔機能を維持し、増進させるために行うケアです。 お口のトラブルを予防するとともに、認知症の予防や進行の抑制といった効果も期待できます。 |
ブラッシングや専門的なクリーニングによって、虫歯・歯周病を予防することを目的としたケアです。 お口の中の細菌を減らし、誤嚥性肺炎などの予防にもつなげます。 |
| 内容 | 内容 |
|
|
施設に入所されている方を対象に誤嚥などを防止して、口から食べる喜びを継続して行う取り組みです。
摂食機能障害で誤嚥のある要介助者に対して経口維持計画を作成したうえ、それぞれに対して管理栄養士が栄養管理を行うことで介護の単位が加算される制度を「経口維持加算」といいます。
また、「口腔衛生管理体制加算」も同様に歯科に関する加算制度。
歯科医師もしくは歯科医師の支持を受けた歯科衛生士が、介護職員に口腔ケアに関する技術的助言・指導を月に一度以上行っている場合に単位が加算されます。
当院では、これらの加算制度に準じた介護行為として、ミールラウンド(嚥下などの食事の観察)に対応しております。
介護を必要とされている方によく見られる症状である、脳血管疾患や心疾患、糖尿病、肺炎、認知症は、実は歯を失ってしまったことや歯周病に深く関わっています。
「咬むこと」は健康のためにとても重要であり、咬める入れ歯をすることで食事がしやすくなって時間も短くできます。
また、残っている歯の本数が多いほど認知症になりにくいというデータも出ているのです。
お口のケア、健康維持はとても重要なものです。どうぞ、当院の訪問歯科にご相談ください。
訪問歯科診療については、費用や訪問回数など、知らないことが多く不安に感じている方も多いのではないでしょうか。
当院では施設に向けた無料検診を行っております。
その際に必要となる治療や回数、また料金についてなどくわしくご説明しますので、お気軽にお問い合わせください。
また在宅の方には歯科医師会の衛生士による事前調査を受けていただくことも可能です。
また嚥下についてお困りの方がおられる場合には、当院が連携をとっている基幹病院やリハビリ施設などをご紹介し、訓練を行うことも可能です。
まずは当院にご相談ください。
詳細はこちら