総合歯科医療 医療法人 大明会 中村歯科医院

  • 診療コンセプト
  • 診療の流れ
  • 歯科医師
  • 院内案内
  • アクセス
  • 医療関係の皆様へ

TEL:048-524-0291(09:30~13:00 15:00~19:00)

All-on-4(オールオンフォー)™

最少4本で全顎インプラントを実現「All-on-4™」

インプラント治療は、病気や事故などで歯を失ってしまった場合の歯の機能回復方法として非常に有効な治療方法です。
しかしながら、多くの歯を失ってしまった方の場合、どうしても身体や費用の負担が大きくなってしまいます。

そこで、熊谷の歯医者「中村歯科医院」では、身体や費用の負担を抑えられる画期的なインプラント治療法「All-on-4(オールオンフォー)™」をご提供しています。
インプラント治療の実績も豊富な当院では、患者さま一人ひとりの症状やご要望に合わせた最適な治療法をご提案します。

総入れ歯の方や多くの歯を失った方に

小さなころから歯医者に通う習慣をつけましょう

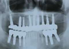
従来の一般的なインプラント治療では、人工歯が十数本以上に及ぶ全顎治療の場合、上下それぞれ8本以上ものインプラント(人工歯根)を埋め込まなければなりませんでした。
しかしこの場合、多くのインプラントを埋め込むため身体への負担や治療費が増大したり、骨の状態によってはインプラント埋入ができかったりといったデメリットがありました。

「All-on-4™」は、こうした課題をクリアにする画期的なインプラント治療。
インプラントの埋入位置や角度を最適化し顎にかかる力を均等にすることで、上下顎それぞれ最少4本(合計8本)のインプラント埋入で全顎の人工歯を支えることが可能です。
これにより、身体や金銭面の負担の低減だけでなく、従来の方法では「全顎インプラントは困難」と診断された方でも治療を行うことができるようになりました。

All-on-4™のメリット

1.手術当日から咬める

これまでは歯茎の回復を待つのに入れ歯を入れるケースもありましたが、インプラントの埋入手術をした当日に仮歯を入れることができるため、その日のうちに歯の機能と審美を回復させ食べ物を咬むことができるようになります。

2.高い成功率

All-on-4™の手術成功率は、実に97%以上。安定性・安全性にすぐれ、非常に高い成功率を誇る安心の治療法です。

3.治療費の軽減

All-on-4™は、インプラントの埋入本数を少なく抑える治療法。
そのため、従来の方法に比べて治療費を軽減させることができます。

4.高い審美性

患者さま一人ひとりの骨の形状に合わせて、理想的な歯と歯肉のバランス配置を行うため、機能性はもちろんのこと、高い審美性も実現します。

5.手術の負担が少ない

最少4本のインプラント埋入のみで治療ができるため、手術を必要最低限に抑えることが可能。
そのため、身体への負担を大幅に軽減することができます。

6.骨が少ない症例にも対応できる場合がある

比較的骨が残っていることの多い前方の顎の骨にインプラントを埋め込むため、全体的に骨が少なくなっていても骨造成(骨を増やす治療)なしで治療できる場合があります。

上顎に骨が足りないケースにも対応

一般的なインプラント治療では、顎の骨か歯槽骨にインプラントを埋め込みます。
しかし、この方法では、顎の骨が痩せてしまっている場合などでは適応できません。
そして、最少4本のインプラントで治療できるAll-on-4™も適応できないほど、上顎の骨が萎縮しているケースで行うのがザイゴマインプラントです。

ザイゴマインプラントは、一般的なものよりも長いインプラント体を顎(ザイゴマ)まで埋め込むことで、インプラント治療を可能にする方法。
通常、骨が足りない場合は骨造成を行って骨を増やすなどの処置が必要で治療に長期を要しますが、ザイゴマインプラントなら、あらゆる症例の患者さまに対し、手術当日に人工歯を固定することが可能です。

当院は、ザイゴマインプラントにおいて、画期的な方法を考案したマロ・クリニックの提携医院。
確かな技術と豊富な実績で安心のザイゴマインプラント治療をご提供します。

症例写真

これまでに当院が行ったAll on 4™によるインプラント治療の症例をご紹介します。

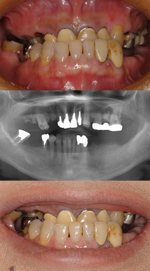
オールオン4症例①
  1. all on 4治療前

  2. all on 4治療後

主訴 歯周病にて歯がなくなってしまい物が噛めない
治療内容 残っていた歯を全身麻酔下にてすべて抜歯して同時に上下8本のインプラントを埋入。 翌日に固定式の仮歯を装着した。 骨とインプラントが結合するのをまち、最終的な上部構造を装着した。
治療期間 9か月
治療金額
  • 全身麻酔および1泊入院費用:
    ¥220,000(税込)
  • ALL on 4 手術費用:
    ¥1,210,000(税込)
  • 上部構造(チタンe-maxタイプ)
    ¥1,870,000(税込)
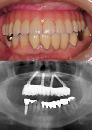
オールオン4症例②
  1. all on 4②治療前

  2. all on 4②治療後

主訴 上下の入れ歯が合わない
歯が揺れて噛めない
治療内容 受け口で義歯合いづらく歯周病が進行しているため残っていた歯を全身麻酔下にて全てを抜歯して同時に上下8本のインプラントを埋入翌日に固定式の仮歯を装着した。 骨とインプラントが結合するのを待ち、最終日な上部構造を装着した。
治療期間 10か月
治療金額
  • 全身麻酔および1泊入院費用:
    ¥275,000(税込)
  • ALL on 4 手術費用:
    ¥1,210,000×2(税込)
  • 上部構造(チタンハイブリッドタイプ、噛む面はメタル)
    ¥1,210,000×2(税込)
オールオン4症例③
  1. all on 4③治療前

  2. all on 4③治療後

主訴 被せものが取れた
治療内容 残っている歯は揺れていて義歯の使用に抵抗があるため、静脈内鎮静下にて上の歯を全てと下の奥歯を抜歯して上は4本、下は1本のインプラントを埋入。
上のインプラントは当日に固定式の仮歯を装着した。
骨とインプラントが結合するのをまち、最終的には上部構造を装着した。
治療期間 8か月
治療金額
  • 静脈内鎮静費用:
    ¥88,000(税込)
  • 上顎手術費用:
    ¥1,210,000(税込)
  • 上部構造(チタンハイブリッドタイプ、噛む面はメタル)
    ¥1,210,000(税込)
  • 下顎手術費用:
    ¥176,000(税込)
  • 上部構造(チタンハイブリッドタイプ、噛む面はメタル)
    ¥209,000(税込)

オールオン4のリスク・副作用

オールオン4を受ける際には、以下のことにご注意ください。

  • オールオン4は外科的処置が必要となるため、治療を受ける場合はリスクがあります。起こりうるリスクは個人差があるほか、埋入部位や口内の状態などによっても変わります。
  • All-on-4®はほとんどの場合、インプラント埋入手術を受けたその日に仮歯を装着することができますが、インプラントを植立する骨の高さや幅、質によっては、当日に仮歯を装着することができません。
  • ネジ型インプラント体を埋入した時に、インプラントと骨がネジをしめるようにはまって固定されて、インプラントに動揺がないことが確認できない場合も、日を置いてから装着することになります。

中村歯科医院は
マロ・クリニック提携医院です

All-on-4™は、ポルトガルの歯科医師Dr.パウロ・マロによって開発されたインプラント治療法。
少ない埋入本数で治療できることから、インプラント治療の適応を格段に広げることに成功し、今やDr.マロが展開する「マロ・クリニック」をはじめ世界中の歯科医院で取り入れられています。

当院は、このAll-on-4™の“生みの親”とも言えるマロ・クリニックの提携歯科医院。
世界基準で最先端のインプラント治療をさまざまな症例の患者さまにご提供いたします。
お身体のことや費用のこと、骨の状態などでインプラント治療をするか迷われている方、当院のドクターが親身にお話をお伺いしますので、まずはお気軽にご相談ください。

マロ・クリニック

↑